Skip to content Skip to sidebar Skip to footer

Talus Avulsion Fracture Treatment

Talar Avulsion Fracture Ortho Teaching Files Nuem Blog

Talar Avulsion Fracture Ortho Teaching Files Nuem Blog

Talus avulsion fracture treatment. An avulsion fracture occurs when a small chunk of bone attached to a. However when talus fractures do occur they are high risk injuries that often present difficulties in management and therefore only a limited subset of fractures are amenable to treatment in the primary care setting. The main treatments for an ankle avulsion fracture are rest and icing.

Anatomic reduction of the fracture fragments is necessary to maintain congruity of the talonavicular joint and reduce the incidence of. Most avulsion fractures are treated conservatively with pain and swelling control and early return to activities. You can use an ice pack or bag of frozen peas wrapped in a damp towel.

Keep weight off the ankle until it has healed and take measures to reduce swelling by elevating the ankle and applying ice. Combined anteromedial and anterolateral exposure of talar neck fractures can help ensure anatomic reduction. The presentation and basic management of talus fractures is reviewed here.

Treatment of an avulsion fracture typically includes resting and icing the affected area followed by controlled exercises that help restore range of motion improve muscle strength and promote bone healing. Ofter bracing or splinting are used. Make sure the ice is not in direct contact with your skin.

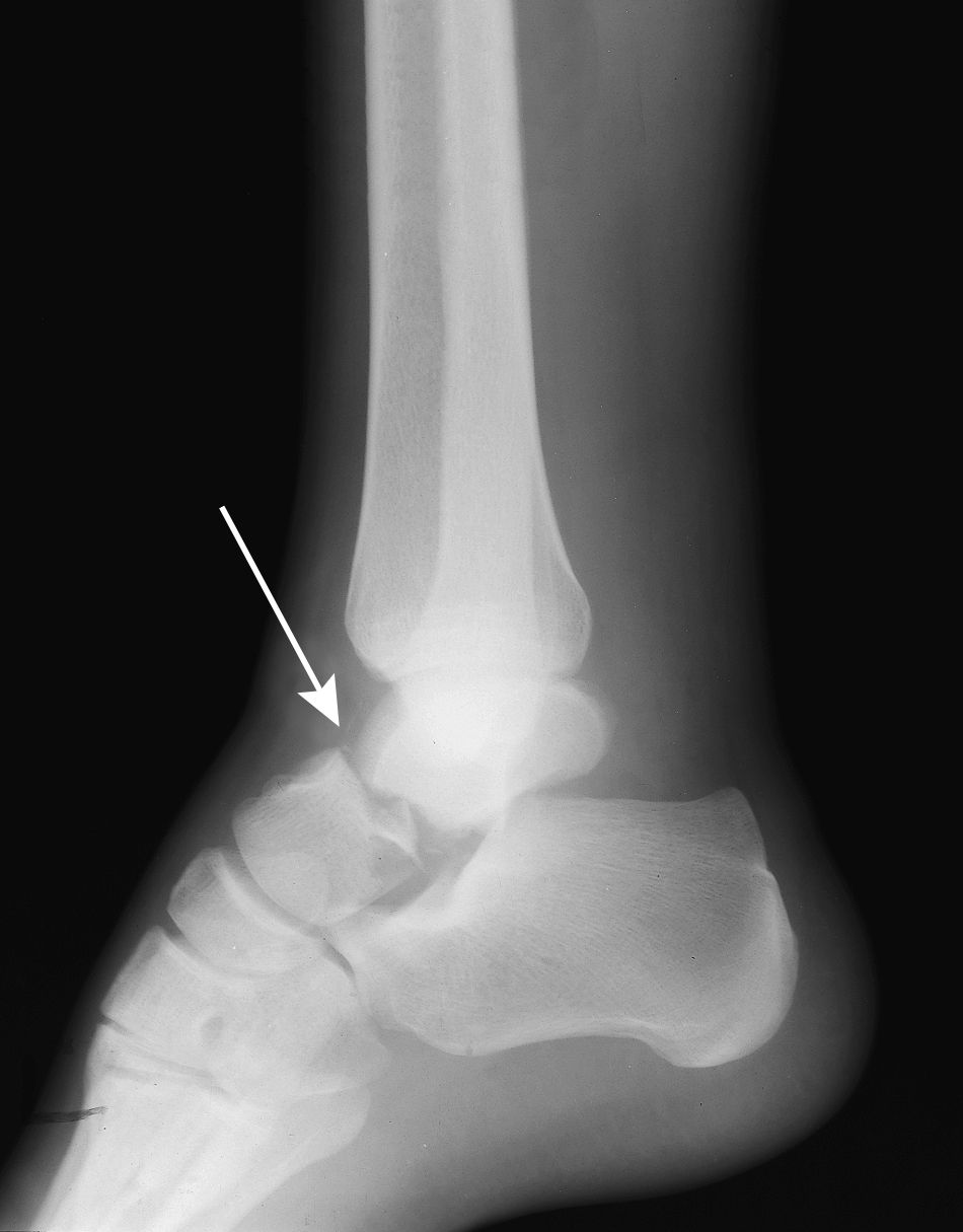
Most avulsion fractures heal very well without surgical intervention. Elevating the foot above the level of the heart helps to minimize swelling and pain. The talar avulsion fracture in this patient is also small with only slight displacement and is seen hovering just above the mid to anterior talus.

For more severe injuries the recommended avulsion fracture treatment may be cast immobilization. Using a cold pack will help with your pain and swelling. According to the Mayo Clinic the most common and often recommended avulsion fracture treatment is simply.

NSAIDs or non-steroidal anti-inflammatory drugs can also be prescribed for the treatment of avulsion fractures. On the other hand avulsion fracture from the talus is an extremely rare type of injury and only one previous published case in the current literature was found.

Talus Fractures Orthoinfo Aaos

Talus Fractures Orthoinfo Aaos

Talus Fractures Orthoinfo Aaos

Talus Fractures Orthoinfo Aaos

Lateral Talar Process Fractures Footeducation

Lateral Talar Process Fractures Footeducation

Talus Avulsion Fractures Are They Accurately Diagnosed Sciencedirect

Talus Avulsion Fractures Are They Accurately Diagnosed Sciencedirect

Ankle Case 4 Ed Management Department Test Feinberg School Of Medicine Northwestern University

Ankle Case 4 Ed Management Department Test Feinberg School Of Medicine Northwestern University

Talus Fracture Podiatry Orthopedics Physical Therapy

Talus Fracture Podiatry Orthopedics Physical Therapy

Anterior Talus Fracture

Anterior Talus Fracture

Talus Fracture Of The Ankle Overview

Talus Fracture Of The Ankle Overview

Fractures And Dislocations Of The Tarsal Bones Chapter 13 Broken Bones

Fractures And Dislocations Of The Tarsal Bones Chapter 13 Broken Bones

Avulsion Fractures Of The Ankle Physiopedia

Avulsion Fractures Of The Ankle Physiopedia

Talar Fractures And Dislocations A Radiologist S Guide To Timely Diagnosis And Classification Radiographics

Talar Fractures And Dislocations A Radiologist S Guide To Timely Diagnosis And Classification Radiographics

Talus Fracture Podiatry Orthopedics Physical Therapy

Talus Fracture Podiatry Orthopedics Physical Therapy

Fracture Of Fibula Fracture Treatment

Fracture Of Fibula Fracture Treatment

Https Www Jfas Org Article S1067 2516 17 30455 6 Pdf

Https Www Jfas Org Article S1067 2516 17 30455 6 Pdf

References In Avulsion Fractures In The Foot Telltale Radiographic Signs To Avoid Mismanagement Clinical Imaging

References In Avulsion Fractures In The Foot Telltale Radiographic Signs To Avoid Mismanagement Clinical Imaging

Talus Fractures Orthoinfo Aaos

Talus Fractures Orthoinfo Aaos

Talar Fractures And Dislocations A Radiologist S Guide To Timely Diagnosis And Classification Radiographics

Talar Fractures And Dislocations A Radiologist S Guide To Timely Diagnosis And Classification Radiographics

Https Www Jfas Org Article S1067 2516 17 30455 6 Pdf

Https Www Jfas Org Article S1067 2516 17 30455 6 Pdf

Talus Fracture Podiatry Orthopedics Physical Therapy

Talus Fracture Podiatry Orthopedics Physical Therapy

Ankle Avulsion Fracture Read Southwestchiropractic Com Avulsion Fracture Fracture Symptoms Sprained Ankle

Ankle Avulsion Fracture Read Southwestchiropractic Com Avulsion Fracture Fracture Symptoms Sprained Ankle

Avulsion Fracture Of Anterior Talofibular Ligament From Talus A Case Report Sciencedirect

Avulsion Fracture Of Anterior Talofibular Ligament From Talus A Case Report Sciencedirect

Talar Fractures And Dislocations A Radiologist S Guide To Timely Diagnosis And Classification Radiographics

Talar Fractures And Dislocations A Radiologist S Guide To Timely Diagnosis And Classification Radiographics

Lateral Talar Process Fracture Radiology Reference Article Radiopaedia Org

Lateral Talar Process Fracture Radiology Reference Article Radiopaedia Org

1

1

Talus Fracture Avulsion

Talus Fracture Avulsion

Os Supratalare Radiology Case Radiopaedia Org

Os Supratalare Radiology Case Radiopaedia Org

Fractures And Dislocations Of The Tarsal Bones Chapter 13 Broken Bones

Fractures And Dislocations Of The Tarsal Bones Chapter 13 Broken Bones

Lateral Talar Process Fractures Footeducation

Lateral Talar Process Fractures Footeducation

Osteochondral Lesions Of The Talus And Occult Fractures Of The Foot And Ankle Musculoskeletal Key

Osteochondral Lesions Of The Talus And Occult Fractures Of The Foot And Ankle Musculoskeletal Key

Posterior Talar Process Fracture Radiology Reference Article Radiopaedia Org

Posterior Talar Process Fracture Radiology Reference Article Radiopaedia Org

Hindfoot Fractures Orthopaedia

Hindfoot Fractures Orthopaedia

Hindfoot Fractures Orthopaedia

Hindfoot Fractures Orthopaedia

Talus Fracture Other Than Neck Trauma Orthobullets

Talus Fracture Other Than Neck Trauma Orthobullets

Figure 1 From Avulsion Fracture Of The Calcaneal Tuberosity Diagnosis And Treatment Semantic Scholar

Figure 1 From Avulsion Fracture Of The Calcaneal Tuberosity Diagnosis And Treatment Semantic Scholar

Https Www Jfas Org Article S1067 2516 17 30455 6 Pdf

Https Www Jfas Org Article S1067 2516 17 30455 6 Pdf

Foot Fractures That Are Frequently Misdiagnosed As Ankle Sprains American Family Physician

Foot Fractures That Are Frequently Misdiagnosed As Ankle Sprains American Family Physician

Talus Fracture Podiatry Orthopedics Physical Therapy

Talus Fracture Podiatry Orthopedics Physical Therapy

Talus Fracture Other Than Neck Trauma Orthobullets

Talus Fracture Other Than Neck Trauma Orthobullets

Avulsion Fracture Of Anterior Talofibular Ligament From Talus A Case Report Sciencedirect

Avulsion Fracture Of Anterior Talofibular Ligament From Talus A Case Report Sciencedirect

Talar Neck Fractures Trauma Orthobullets

Talar Neck Fractures Trauma Orthobullets

Hindfoot Calcaneus And Talus Fractures Musculoskeletal Medicine For Medical Students Orthopaedicsone

Hindfoot Calcaneus And Talus Fractures Musculoskeletal Medicine For Medical Students Orthopaedicsone

Posterior Talar Process Fracture Radiology Reference Article Radiopaedia Org

Posterior Talar Process Fracture Radiology Reference Article Radiopaedia Org

Ankle Avulsion Fracture Treatments And Rehabilitation New Health Advisor

Ankle Avulsion Fracture Treatments And Rehabilitation New Health Advisor

Talar Fractures And Dislocations A Radiologist S Guide To Timely Diagnosis And Classification Radiographics

Talar Fractures And Dislocations A Radiologist S Guide To Timely Diagnosis And Classification Radiographics

Stress Fracture Of The Talus Ankle Conditions Musculoskeletal What We Treat Physio Co Uk

Stress Fracture Of The Talus Ankle Conditions Musculoskeletal What We Treat Physio Co Uk

Deltoid Avulsion Fracture Fifa Medical Platform

Deltoid Avulsion Fracture Fifa Medical Platform

Talar Body Fracture Footeducation

Talar Body Fracture Footeducation

Talar Process Fractures Efort Open Reviews

Talar Process Fractures Efort Open Reviews

1

1

Most avulsion fractures heal very well without surgical intervention.

Treatment usually includes a period of immobilization followed by gradual return to activity. Make sure the ice is not in direct contact with your skin. Thus talus fractures are relatively uncommon comprising less than 1 percent of all fractures. According to the Mayo Clinic the most common and often recommended avulsion fracture treatment is simply. Combined anteromedial and anterolateral exposure of talar neck fractures can help ensure anatomic reduction. The presentation and basic management of talus fractures is reviewed here. Due to apparent rarity in the literature this case is reported and discusses the differential diagnosis radiographic findings and treatment of ATFL talar avulsion fracture. Ofter bracing or splinting are used. Treatment usually includes a period of immobilization followed by gradual return to activity.


Thus talus fractures are relatively uncommon comprising less than 1 percent of all fractures. Treatment is generally nonoperative with immobilization for minimally displaced injuries and surgical reduction and fixation for displaced and intra-articular fractures. The splint should extend from the toe to the upper calf. - General lower extremity strengtheningSLR quad sets etc - Edema control - Nonweightbearing NWB until allowed by physician. Common Avulsion Fracture Treatments Prescribed by Doctors. Anatomic reduction of the fracture fragments is necessary to maintain congruity of the talonavicular joint and reduce the incidence of. For more severe injuries the recommended avulsion fracture treatment may be cast immobilization.

Post a Comment for "Talus Avulsion Fracture Treatment"